دراسة إيطالية تكشف لغز وفاة عدد من المتعافين من كورونا
طباعة
وكالات: نشر في: الجمعة 28 أغسطس 2020 - 3:46 م | آخر تحديث: الجمعة 28 أغسطس 2020 - 3:46 م
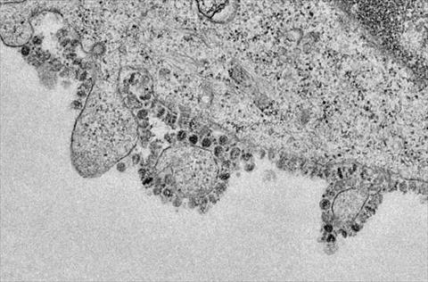
كشفت دراسة إيطالية، نُشرت فى مجلة «medXriv»، أن فيروس كورونا يمكن أن يغزو الخلايا العضلية، أو خلايا أنسجة عضلة القلب، وطالبت الأشخاص الذين تعافوا من الفيروس بمراقبة أنفسهم جيدا فقد يكونون أُصيبوا بأمراض القلب، وفقا لقناة فوكس نيوز الأمريكية.
وأكد الباحثون الإيطاليون أنه تم رصد ست حالات وفاة بفيروس كورونا بين البالغين الذين كانوا يتمتعون بصحة جيدة سابقا، نتيجة إصابتهم بأمراض فى القلب، وأشاروا إلى أن فيروس كورونا أصاب القلب بتشوهات حتى بعد شفائهم من المرض.
وكتب مؤلفو الدراسة: «تم اكتشاف وجود فيروس كورونا فى خلايا عضلة القلب بشكل ثابت»، وأضافوا أنه يجب مراقبة صحة القلب لدى مرضى كورونا الذين تماثلوا للشفاء، لمعرفة أثره على المدى الطويل، وفقا لقناة الحرة الأمريكية.
وكانت دراستان تم نشرهما فى وقت سابق من هذا الشهر، دعمتا هذه الدراسة، وأكدتا أنه تم العثور على الفيروس فى أنسجة القلب، مما يمكن أن يؤثر على أنسجة عضلة القلب، ويسبب مضاعفات تهدد حياة المرضى.
ووثق أطباء وخبراء برازيليون فى هذه الدراسة، وفاة طفلة تبلغ من العمر 11 عاما كانت مصابة بحالة التهابية عند الأطفال مرتبطة بفيروس كورونا، وأكدوا أن الطفلة أصيبت بقصور فى القلب وتوفيت بعد يوم واحد من دخولها المستشفى.
وفى هذه الحالة، لاحظ مؤلفو الدراسة أن خلايا عضلة القلب مصابة، وقالوا: «ربما يؤدى ذلك إلى التهاب موضعى نتيجة لإصابة الخلية»، وأشاروا إلى أن هذه الحالة هى أول حالة يتم توثيقها لوجود الفيروس فى خلايا القلب لطفل.



ساحة النقاش