الساركوسيست_sarcocystis
بسم الله الرحمن الرحيم
حويصلات الساركوسيست
التعريف بالمرض :
هي حويصلات تصيب عضلات الحيوانات المختلفة والطيور والثدييات وكذلك الانسان..حبث تتركز هذه الحويصلات في العضلات النشطة في جسم الحيوان كالقلب و المرئ و عضلات الرقبة و الوجه و الحجاب الحاجز و من الممكن ان تنشر في عضلات الجسم كله في حالة العدوى الشديدة محدثة آلام عضلية و خسارة اقتصادية من ناحية الحكم على الدبيحة و الاعدام الكلي لها او الجزء المصاب
مسبب المرض:
طفيل الساركوسيست هو طفيل أولى و حيد الخلية يتطفل اجباريا على عائلين ليكمل دورة حياته..عائل نهائي هو من آكلات اللحوم كالكلاب والقطط..وعائل وسيط وهو من آكلات الاعشاب كالابقار والجاموس والاغنام والطيور وكذلك الزواجف حيث يتحوصل داخل عضلات العائل الوسيط على شكل اكياس
خصائص حويصلات او اكياس الساركوسيست :
الشكل : ذات شكل مغزلي أو أنبوبي او بيضاوي في العضلات المصابة الحجم : ومنها حجمان الكبير منها يرى بالعين المجردة و قد يصل حجمه الى 3 سم تبعا لعمر الحيوان حيث كلما كبر الحيوان او زاد عمر الاصابة كلما ازادت حجم هذه الاكياس و الصغير منها لا يرى الا مجهريا
التركيب الداخلي : تتميز هذه الاكياس انها مقسمة بحواجز من الداخل مكونه حجيرات وجدارها ذو بنية خاصة ، وتحتوي على عدد من الحيوانات الكيسية ، وتقيس هذه الحيوانات الكيسية من 12-15 ميكرون طولاً ولها نواة حويصلية الشكل وتحتوي على حبيبات عديدة ..
أنواع
الساركوسيست بالحيوانات المختلفة:
ويوجد للساركوسيست أنواع عديدة قد تتعدى المائتي نوع ومع ذلك فهو يتميز بالتخصص فكل حيوان يصاب بانواع محددة لا تصيب غيرها من الحيوانات سواء كان عائلا أساسيا أو وسيطا.
الأبقار تصاب باربعة أنواع أهمهم واكثرهم ضررا "الساركوسيست كروزيي" وهو يسبب الاجهاض بالابقار وكذلك "الساركوسيست هومنز" وهو الذي يصيب الانسان.
الجاموس تصاب باربعة انواع أيضا أهمهم "الساركوسيست فيوزي فورم" وهي من النوع كبير الحجم وهي تنتشر بكثرة مما يجعل اللحوم المصابة بها منفرة وغير مقبولة للمستهلك.
الخنازير تصاب بأربعة أنواع أهمهم "السويزهومنز" وهو النوع الذي يصيب الانسان أيضا.الخيول بها خمسة انواع أهمهم "الساركوسيست نيورونا" حيث تسبب التهاب بالمخ والنخاع الشوكي للحيوان.
الاغنام وتصاب بأربعة أنواع اهمها "الساركوسيست تينلا" وهي تسبب الأجهاض والشلل بالاغنام.
الطيور : وتصاب ايضا الساركوسيست كروزيي والساركوسيست جيجانتي و تينيلا و اهمهم الساركوسيست نيورونا (s.neurona)و الساركوسيست (Sarcocystis falcatula) وهذان النوعان يفرازان السموم التي تسبب اعراض عصبية للحمام
الإنسان
أولا:يعتبر الانسان عائل نهائي لنوعين من الساركوسيست أحدهما يصيب الابقار والآخر يصيب الخنازير.
ثانيا:ثبت وجود حويصلات الساركوسيست في عضلات الإنسان ومن ثم يعد كعائل وسيط لكن لم تحدد أنواع الساركوسيست التي تصيبه بعد.
طرق انتقال العدوى :
تنتقل العدوى عن طريق تناول اللأعشاب الملوثة والتي تصل إلى أمعاء الحيوان ومن ثم عن طريق الدم إلى العضلات المخططة في القلب والحجاب الحاجز والمريء وعند تناول آكلات اللحوم لهذه الأعضاء تصل إليها العدوى والتي تطرحها فيما بعد مع البراز .
الاهمية المرضية للساركوسيست:
1_تحتوى حويصلات الساركوسيست على سم يسمى الساركوسستين وقد ثبت ان له اثر مميت بعد حقنه في الفئران والارانب معمليا حيث ظهرت على الفئران و الارانب المصابة اعراض الخمول و الاسهال ثم صدمة و شلل في الاطراف ثم انتهيت بالموت
اهمية هذا السم (التوكسين):
انه يلعب دور كبير في زيادة الامراضية اثناء اصابة الحيوانات بالفيروسات او البكتريا او المسببات المرضية الاخرى حيث لوحظ ان اصابة الخيول ب الساركوسيت (S. neurona) و التي تفرز توكسين يسبب التهابات بالمخ و النخاع الشوكي لا يفرز الا اذا تعرض الحيوان لعدوى equine protozoal myeloencephalitis او فرط الحساسية او وحدوث وهن في الجسم نتيجة الاصابة الشديدة بحويصلات الساركوسيت
كما ان هذا التوكسين يعمل على تقليل انتاج الخلايا البيضاء الوحيدة (monocyte)_
2_من الممكن ان تنفجر حويصلات الساركوسيست نتيجة لصدمة او تاثير حمض االاكتيك محدثة التهبات في العضلات ممكن ان تنتهي بخراريج نتيجة العدوى الثانوية
التوزيع الجغرافي:
ينتشر الساركوسيست في جميع انحاء العالم ويعود انتشاره في الحيوانات إلى نظام التربية فيزداد انتشاره في نظام الرعي المفتوح حيث تختلط فيه حيوانات المزرعة بالقطط والكلاب وتقل وتندر في النظام المغلق أما في الانسان فالأصابة المعوية منتشرة على مستوى العالم أما الاصابة العضلية فقد سجلت بجنوب شرق اسيا وامريكا.
دورة الحياة:
ظلت دورة حياة الساركوسيست غير معروفة حتى عام 1972 وتتميز دورة حياة الساركوسيست بأنها غير مباشرة فهي تحتاج إلى عائلين وتنقسم دورة الحياة إلى اربعة مراحل كل مرحلتين تتم داحل عائل


أولا: دورة الحياة بالعائل النهائي:
تكون البداية عندما يبتلع العائل الأساسي كالقطط أو الكلاب أوالانسان لحوم غير مطهية مصابة بحويصلات الساركوسيست فتتحرر البراديزويت من الحويصلات داخل الامعاء وتتم مرحلة التزاوج الجنسي أو تكوين الاكياس البيضية في الخلايا المبطنة لجدار الامعاء الدقيقة..بعد ذلك تأتي المرحلة الثانية وهي نضوج الأكياس البيضية وإخراجها مع البراز..والكيس البيضي يتكون من كيس خارجي بداخلة كيسين كل منهما يحتوي على اربعة اسبوروزيت وقد يتكسر الكيس الخارجي وتشاهد الاكياس الداخلية كل منها على حدة.
ثانيا:دورة الحياة بالعائل الوسيط:
تحدث العدوى للعائل الوسيط عندما يتلوث طعامه أوشرابه بهذه الاكياس وتتحرر الاسبوروزيتات من الاكياس بالامعاء وتتم المرحلة الثالثة وهي مرحلة التكاثر اللاجنسي بالخلايا المبطنة للأوعية الدموية وتنتهي دورة الحياة بمرحلة تكوين الحويصلات بالعضلات.
الأعرض:
لا توجد أعراض ظاهرة أو أعراض مميزة للاصابه بالساركوسيست ومع ذلك فان المرض له صورتان حسب نوع العائل:
1-صورة معوية وتكون بالعائل النهائي حيث يصاب باضطرابات معوية من اسهال وقئ والام بالبطن.
2- صورة عضلية وتكون بالعائل الوسيط حيث تصاب العضلات بالحويصلات فتؤدي إلى: التهاب العضلات وتورمها·
قد تؤدي الاصابة بالساركوسيست إلى الاجهاض كما في الابقار والأغنام.
هزال وفقدان في الوزن ونقص في انتاج اللبن.·
تشنجات عصبية بالخيول ناتجة عن التهاب المخ والنخاع الشوكي.
التشخيص:
أولا:بالعائل الوسيط
لم تشخص الاصابة بحويصلات الساركوسيست بالحيوانات إلا بعد الذبح فإذا كانت من النوع كبير الحجم "كالساركوسيست فيوزي فورم" بالجاموس فهي ترى بالعين المجردة بعضلات المرئ وعضلات القوائم الامامية والخلفية وباقي عضلات الجسم عندما تنتشر الاصابة..أما في النوع الصغير فيتم تشخيصها معملياعن طريق:
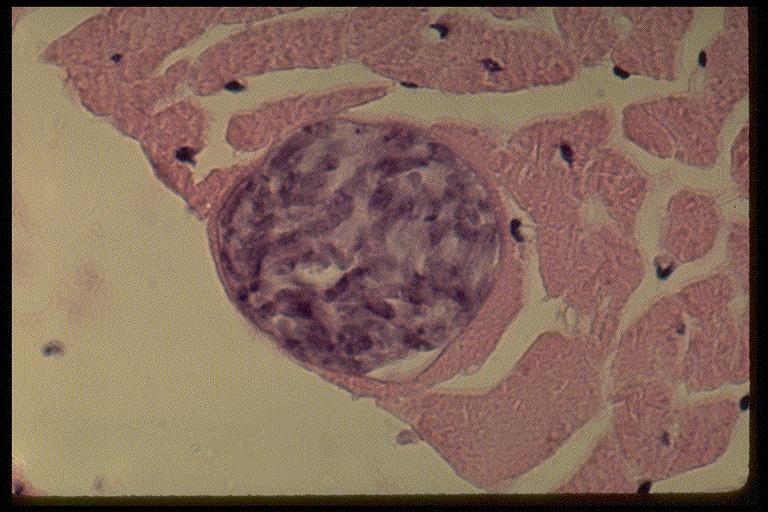
1- الفحص النسيجي للعضلات ميكروسكوبيا حيث يلاحظ أن الحويصلة تتركب من جدار خارجي ذو بنية خاصة ومقسمة بحواجز إلى حجيرات وتحتوي على عدة آلاف من البراديزويت . و هذه صورة لحويصلة مصبوغة بصبغةH&E
2-بطريقة الهضم بالببسين أو التربسين وفيها يتم العثور على البراديزويت ذات الشكل الكمثرى أو الموزي الشكل.3-الهستوباثولوجي
ثانيا:بالعائل النهائي
يتم التشخيص عن طريق فحص براز القطط أو الكلاب أو الانسان للأكياس البيضية بطريقة التعويم.
العلاج:
لا يوجد علاج خاص بالساركوسيست لكن تستخدم بعض الادوية لتقليل حدة الاعراض المزمنة وكذلك التهاب العضلات.1_حقن ديكساميثازون عضل لتقليل الالتهابات2_حقن مضاد حيوي واسع المدي للتحكم في العدوى الثانوية3_اعطاء البيندازول شرب و يكرر لمدة 5 ايام متواصلة
الوقاية: 1- عدم أكل اللحوم إلا بعد طهيها جيدا وذلك بالغليان لمدة 10 دقائق أو تعريضها لدرجة حرارة تزيد عن 70 درجة مئوية.2- عدم ترك الكلاب والقطط بالمجازر لمنع اتمام دورة حياة الطفيل بها وكذلك بحظائر التربية حتى لا تنقل الطور المعدي للحيوانات.3- التخلص الآمن من الأجزاء المصابة بحويصلات الساركوسيست بالمجازر.4-التشديد على عدم الذبح خارج المجازر للتأكد من الاعدام الآمن للحوم المصابة.
الحكم على اللحوم المصابة: إذا كانت الاصابة بسيطة أو منحصرة بالمرئ فيعدم المرئ أو الجزء المصاب أما إذا كانت الاصابة منتشرة بكل الذبيحة فتعدم الذبيحة بالكامل.















ساحة النقاش