مركز د حسام منصور للأسنان
مسئول الاتصال: هناء كمال
رقم التليفون: 01211950099
البريد الإلكترونى: [email protected]
العنوان البريديى: مصر
نشرها موقع: Dr Houssam Mansour Center
مركز د حسام منصور للأسنان
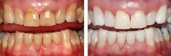
الأن و لفتره محدودة تبييض الأسنان ب1000ج بدلا من 1500 حيث يتم استخدام اجهزة التنظيف والتبييض والتلميع بالتتابع لازالة الجير ومنع التسوس والقضاء على رائحة الفم و صبغات التدخين والقهوه والمشروبات الملونه .
للحجز والاستعلام على
مدينة نصر: 01205077255-22756032
المعادى: 01205077266-25283965
حلوان: 012050772444-25560396
نشرت فى 17 مايو 2015
بواسطة DrHoussamMansou
مركز د حسام منصور للاسنان و أمراض الطفوله
مركزالدكتور حسام منصور هو مركز طبي خاص لديه جميع التخصصات الطبية و اسس وفقا لأحدث المعايير الصحية. هناك ثلاثة فروع للمركز فى مدينه نصر و المعادى و حلوان.للتواصل: مدينة نصر: 01205077255-22756032 المعادى: 01205077266-25283965 حلوان: 012050772444-25560396 »
ابحث
تسجيل الدخول
عدد زيارات الموقع
2,729
مركز د حسام منصور للاسنان
تحتوي عيادات الاسنان لدينا علي نخبه من افضل اطباء واستشاريو الاسنان في مصر ونقوم بكافة عمليات وتركيبات وزراعة الاسنان


